
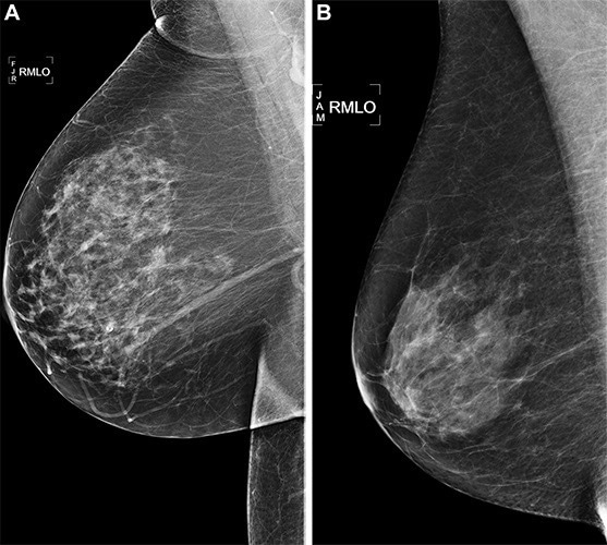
Right medial lateral oblique (RMLO) screening mammograms show negative results from 2016 in (A) a 73-year-old woman with Mirai artificial intelligence (AI) risk score with more than 90th percentile risk who developed right breast cancer in 2021 at 5 years of follow-up and (B) a 73-year-old woman with Mirai AI risk score with less than 10th percentile risk who did not develop cancer at 5 years after 5 years of follow-up. Image Credit: https://doi.org/10.1148/radiol.222733 ©RSNA 2023
Normally, a woman’s risk of breast cancer is evaluated with the help of clinical models like the Breast Cancer Surveillance Consortium (BCSC) risk model. This utilizes self-reported and other information about the patient—such as age, family history of the disease, if she has given birth, and has thick breasts—to assess a risk score.
Clinical risk models depend on gathering information from different sources, which isn’t always available or collected. Recent advances in AI deep learning provide us with the ability to extract hundreds to thousands of additional mammographic features.
Vignesh A. Arasu, MD, Ph.D., Research Scientist and Practicing Radiologist, Kaiser Permanente Northern California
In the retrospective study performed, Dr. Arasu utilized data linked to negative screening 2D mammograms executed at Kaiser Permanente Northern California in 2016. Among the 324,009 women screened in 2016 who fulfilled the eligibility criteria, a random sub-cohort of 13,628 women was chosen for analysis.
Furthermore, all 4,584 patients from the eligibility pool who were diagnosed with cancer within five years of the original 2016 mammogram were also studied. All of the women were tracked until 2021.
Dr. Arasu stated, “We selected from the entire year of screening mammograms performed in 2016, so our study population is representative of communities in Northern California.”
The scientists separated the five-year study period into three time periods: interval cancer risk, or incident cancers that have been diagnosed between 0 and 1 years; future cancer risk, or incident cancers diagnosed between one and five years; and all cancer risks, or incident cancers that have been diagnosed between zero and five years.
The “Black Box” of AI
With the help of the 2016 screening mammograms, the risk scores for breast cancer over the five years were produced by five AI algorithms, such as two academic algorithms utilized by scientists and three commercially available algorithms. Further, the risk scores were compared to each other and also to the BCSC clinical risk score.
All five AI algorithms performed better than the BCSC risk model for predicting breast cancer risk at 0 to 5 years. This strong predictive performance over the five-year period suggests AI is identifying both missed cancers and breast tissue features that help predict future cancer development. Something in mammograms allows us to track breast cancer risk. This is the ‘black box’ of AI.
Vignesh A. Arasu, MD, Ph.D., Research Scientist and Practicing Radiologist, Kaiser Permanente Northern California
Few of the AI algorithms surpassed at forecasting patients at high risk of interval cancer, which is frequently aggressive and might need a second reading of mammograms, short-interval follow-up imaging, or supplementary screening. When assessing women with the highest 10% for risk, as an instance, AI anticipated up to 28% of cancers compared to 21% predicted by BCSC.
Also, AI algorithms trained for brief time horizons (as low as three months) were able to forecast the future risk of cancer for up to five years when no cancer was clinically detected through screening mammography. When it has been utilized in combination, the AI and BCSC risk models additionally improved cancer prediction.
We’re looking for an accurate, efficient, and scalable means of understanding a women’s breast cancer risk. Mammography-based AI risk models provide practical advantages over traditional clinical risk models because they use a single data source: the mammogram itself.
Vignesh A. Arasu, MD, PhD, Research Scientist and Practicing Radiologist, Kaiser Permanente Northern California
Dr. Arasu stated that some institutions are already making use of AI to assist radiologists in detecting cancer on mammograms. A future risk score of a person, which takes seconds for AI to generate, can be combined into the radiology report that has been shared with the patient and their physician.
Dr. Arasu stated, “AI for cancer risk prediction offers us the opportunity to individualize every woman’s care, which isn’t systematically available. It’s a tool that could help us provide personalized, precision medicine on a national level.”
Journal Reference
Arasu, V. A., et al. (2023) Comparison of Mammography AI Algorithms with a Clinical Risk Model for 5-year Breast Cancer Risk Prediction: An Observational Study. Radiology. doi.org/10.1148/radiol.222733.